백내장은 눈 속 수정체가 혼탁해져 시야가 뿌옇게 흐려지는 질환으로, 특히 60세 이상에서 흔히 발생합니다.
초기에는 노안과 혼동될 수 있을 정도의 가벼운 시야 흐림으로 시작하지만, 진행되면 독서·운전·야간 시야 등에 심각한 불편을 초래할 수 있습니다.
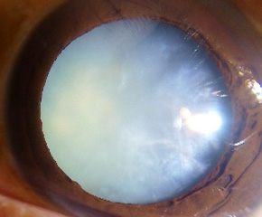
백내장
정상안


시야가 뿌옇게 보임
눈부심, 빛 번짐 현상
색감이 탁해짐, 대비감도 저하
안경이나 돋보기를 바꿔도 시력 호전이 없음
이러한 증상은 점진적으로 악화되며, 방치하면 실명에 이를 수 있습니다.
세극등현미경검사 및 산동 후 정밀안저검사
광각안저촬영, 빛간섭단층촬영
안축장 길이, 각막 곡률 측정 등
정밀검사를 통해 백내장의 진행 정도와 수술 필요성을 평가합니다.
피질백내장
과숙백내장정확하고 안전한 백내장 수술을 위해 대학병원 정교수 출신 의료진의 풍부한 경험을 바탕으로, 내과 협진을 포함한 정밀검사와 다양한 인공수정체 옵션을 통해 개인 맞춤 수술을 시행합니다. 1:1 상담과 최신 수술 장비 도입으로 수술의 정확성과 성공률을 높이고 있습니다.
특히 EDOF 인공수정체를 활용해 생활시력을 향상시키고, 백내장 수술과 동시에 노안·난시 교정이 가능한 다초점 인공수정체 수술을 제공하여 돋보기 없이도 다양한 거리에서 또렷한 시야를 확보할 수 있어 삶의 질 개선에 효과적입니다.

대학병원급 최신
수술 장비와 검사 장비
수술장비(Alcon Unity VCS), 수술현미경(Opmi Lumera 700), IOLMaster 700, 고해상도 빛간섭단층촬영기(Cirrus 6000) 등

맞춤형 인공수정체 선택
환자 개개인의 생활 습관, 직업, 눈상태를 고려하여 맞춤형 인공수정체를 제안하며, 백내장 수술과 동시에 노안 및 난시까지 교정할 수 있습니다.

풍부한 수술 경험
고난도 백내장 및 복합 질환 동반 케이스까지 안전하고 수준 높은 백내장 수술을 시행합니다.

철저한 사후관리
수술 후 정기검진 및 안구건조증 케어, 장기적인 시력 관리 시스템 구축